 永久歯が足りない方、
                永久歯が足りない方、
大人になっても乳歯が残っている方
ご相談ください
            
		先天性欠損(先天性欠如)とは、永久歯が生まれつき足りない状態を言います。永久歯は、親知らずを含めて32本ありますが、生まれつき永久歯の元となる「歯胚」が足りず、生えてくるはずの永久歯が生えてこない場合があるのです。「大人になっても乳歯が残っている」という状態(大人乳歯)も、先天性欠損が原因となっている場合があります。
永久歯が足りないと
どうなる?
先天性欠損は、1歯足りないケースもあれば、複数歯に及ぶケースもありますが、歯がない状態を放置していると、次のような影響が懸念されます。(虫歯や歯周病、事故等で歯を失ったまま放置した場合も同様です)
 両隣の歯が倒れてくる
            両隣の歯が倒れてくる
         歯が伸びてくる
            歯が伸びてくる
         見た目が悪い
            見た目が悪い
        大人乳歯の影響
大人になっても残っている乳歯は、永久歯の代わりになるわけではありません。
次のような影響が懸念されます。
- エナメル質が薄く、虫歯になりやすい
- 歯根が短く、抜けやすい
- 永久歯よりも小さく、隙間ができて
 歯並びに影響する
- 永久歯よりも小さいので、見た目が良くない
 
                        先天性欠損の治療
先天性欠損歯の治療は、一般的な欠損治療と同じです。インプラントやブリッジ、入れ歯により歯を補う治療を行います。
 
                         
                         
                        当院の先天性欠損治療
- 
       上顎右側B3が先天的に2本欠損しており、 上顎右側B3が先天的に2本欠損しており、
 乳歯の晩期残存によりインプラント治療を希望され、来院されました。
- 
       審美障害もあり、ブリッジかインプラントかという選択や、 審美障害もあり、ブリッジかインプラントかという選択や、
 周囲の歯を削りたくないという理由から、インプラント治療を希望されました。
- 
       ブリッジにする場合は複数の歯を削る必要があり、 ブリッジにする場合は複数の歯を削る必要があり、
 ある程度の大きさのブリッジになってしまいます。
- 
       スペースが狭いため、術前のシミュレーションで スペースが狭いため、術前のシミュレーションで
 2本の欠損に対して1本のインプラントを入れる計画を立てました。
- 
       最終的な歯のイメージをコンピューター上でデザインします。 最終的な歯のイメージをコンピューター上でデザインします。
- 
       デジタルプランニングを行うことによって、外科的侵襲を軽減できます。 デジタルプランニングを行うことによって、外科的侵襲を軽減できます。
- 
       術前に院内ラボ(技工部)で仮歯をデザイン・作成し、 術前に院内ラボ(技工部)で仮歯をデザイン・作成し、
 抜歯と同時に仮歯を装着します。
- 
       インプラントを埋入し、 インプラントを埋入し、
 仮歯(プロビジョナルレストレーション)を装着した状態です。
- 
       プロビジョナルで組織の安定を待った後に、 プロビジョナルで組織の安定を待った後に、
 最終的な上部構造を装着します。
- 
       スペースが少ないため2本の欠損に対して1本のインプラントを入れ、 スペースが少ないため2本の欠損に対して1本のインプラントを入れ、
 スクリュー固定のジルコニア製セラミッククラウンを作成しました。
- 
       最終的な上部構造が装着された状態です。 最終的な上部構造が装着された状態です。
- 
       最終的な上部構造が装着された状態です。 最終的な上部構造が装着された状態です。
- 
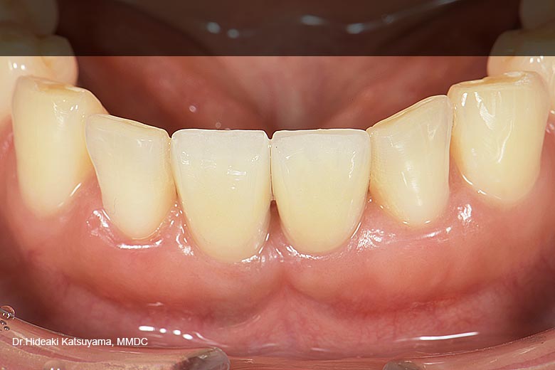
       最終的な結果です。患者様は侵襲の少ない治療で大変喜ばれました。 最終的な結果です。患者様は侵襲の少ない治療で大変喜ばれました。
- 
       先天的に前歯が2本欠損しており、晩期残存していました下顎前歯部の審美的な改善を目的とし、インプラント治療を希望して来院されました。 先天的に前歯が2本欠損しており、晩期残存していました下顎前歯部の審美的な改善を目的とし、インプラント治療を希望して来院されました。
- 
       2本の前歯が欠損していますが、レントゲンで見る限り、下顎の前歯の歯根が近接していて、近遠心的なインプラントを入れるスペースがないことがわかります。 2本の前歯が欠損していますが、レントゲンで見る限り、下顎の前歯の歯根が近接していて、近遠心的なインプラントを入れるスペースがないことがわかります。
- 
       そのため、理想的な治療結果を達成するため、 そのため、理想的な治療結果を達成するため、
 矯正治療を併用したインプラント治療を計画しました。
- 
       口腔内スキャナ-で口腔内の状態をスキャンしたのち、 口腔内スキャナ-で口腔内の状態をスキャンしたのち、
 コンピューター上で矯正治療のシミュレーションを行いました。
- 
       術前のシミュレーションでは、インプラント2本を埋入する適切なスペースを確保できるという予想を立てました。 術前のシミュレーションでは、インプラント2本を埋入する適切なスペースを確保できるという予想を立てました。
- 
       シミュレーションに基づき、マウスピース矯正治療を行いました。 シミュレーションに基づき、マウスピース矯正治療を行いました。
- 
       矯正治療により、インプラントを2本埋入するスペースができました。 矯正治療により、インプラントを2本埋入するスペースができました。
- 
       インプラント埋入治療を行います。 インプラント埋入治療を行います。
- 
       乳歯の抜歯、骨造成、インプラント埋入を同時に行いました。 乳歯の抜歯、骨造成、インプラント埋入を同時に行いました。
 スペースの狭い部位に適したインプラントを2本埋入した状態です。
- 
       一定の期間を経て、下顎にスクリュー固定式の 一定の期間を経て、下顎にスクリュー固定式の
 仮歯(プロビジョナルレストレーション)を装着しました。
- 
       プロビジョナルで組織の安定を待った後に、 プロビジョナルで組織の安定を待った後に、
 口腔内スキャナーによるデジタル印象を行いました。
- 
       スクリュー固定式の最終的な上部構造が装着された状態です。 スクリュー固定式の最終的な上部構造が装着された状態です。
- 
       上部構造は、チタンベース(土台)にジルコニアクラウンを接着した構造となっています。単一のクラウンで修復を行いました。 上部構造は、チタンベース(土台)にジルコニアクラウンを接着した構造となっています。単一のクラウンで修復を行いました。
- 
       上部構造は、チタンベース(土台)にジルコニアクラウンを接着した構造となっています。単一のクラウンで修復を行いました。 上部構造は、チタンベース(土台)にジルコニアクラウンを接着した構造となっています。単一のクラウンで修復を行いました。
- 
       審美的な結果が得られ非常に結果に満足いただけました。 審美的な結果が得られ非常に結果に満足いただけました。
上顎2本の先天性欠損を1本の
インプラントで治療した症例
    before
 
                         
                    after
 
                         
                    - 患者様
- 40代・女性
- 治療の内容
- スペースが少ないため2本の欠損に対して1本のインプラントを埋入し、スクリュー固定式のジルコニア製のセラミッククラウン装着しました。
- 治療期間
- 初診時より完了まで7ヵ月間
- 費用
- 781,000円(税込)
マウスピース矯正でスペースを作り、
インプラントを埋入した症例
    before
 
                         
                    after
 
                         
                    - 患者様
- 30代・女性
- 治療の内容
- マウスピース矯正を行ってインプラントを2本埋入するスペースを作り、乳歯の抜歯・骨造成・インプラント埋入を同時に行いました。スクリュー固定式の上部構造は、チタンベースにジルコニアクラウンを装着した構造となっています。
- 治療期間
- 矯正治療後5ヵ月
- 費用
- インプラント治療890,568円(税込)
 矯正治療905,580円(税込)
インプラント無料相談で
お気軽にご相談ください
                当院では、先天性欠損の患者様へのインプラント治療に多数対応してきました。先天性欠損の場合、矯正治療が必要なケースも少なくありません。
                当院では、矯正治療を組み合わせたインプラント治療のご提案が可能です。
お気軽にご相談ください。
インプラント治療をご希望される方へ
標準的な治療の内容
インプラント治療は、何らかの理由で歯が抜けてしまった部分の顎骨に、チタン製の人工歯根を埋入して土台を作り、その上に義歯を装着することで、新たな歯を作る治療法です。
                ※インプラント治療の詳細はこちらでご紹介しています。
インプラント治療のメリット・デメリット
メリット
- 見た目の良い人工歯を装着できる
- 独立した歯を作るため、他の歯に影響しない
- 天然歯と同じような感覚で使用できる
- 骨がやせるのを防ぐことができる
デメリット
- 外科手術が必要となる
- 十分な骨量が必要となる
- 保険が適用とならないため、費用が高くなる
- 入れ歯・ブリッジよりも治療期間が長くなる
起こり得るリスク・注意点
- 術後に出血が続く場合があります。(うがいを頻繁に行わないでください)
- 術後に腫れや痛みが生じる場合があります。
- 下顎の場合、一時的に麻痺が生じる場合があります。
- 上顎の手術の場合、術後に鼻血が出る場合があります。
- 治療後は十分にメンテナンスを行わなければ、細菌に感染しやすくなります。
※当院ではさまざまなリスク回避への対策を徹底するとともに、術前・術後の注意点をご案内しています。
※インプラント治療のメリット・デメリット・リスクの詳細については、こちらでご紹介しています。
インプラント治療費
インプラント
(1本あたり)
45.3万円~47.3万円 
(税込498,300円~520,300円)
※インプラント治療費の詳細については、こちらでご紹介しています。
当院では、患者様が治療を正しく理解し、納得の治療を受けていただきたいという願いから、「インプラント無料相談」を実施しています。自分に合った治療法がわからない、インプラントのリスクが心配、自分の場合の費用総額が知りたい、という方にご利用いただいています。治療に関する不安や疑問点は、どのようなことでもお気軽にご相談ください。
 
